

Cosmetic Bonding
When this patient presented to our office she was very self-conscious about her smile due to small and irregular shaped teeth. With some cosmetic bonding we were able to give her a beautiful new smile.


Smile Makeover
This patient came in for a smile makeover. We decided to make him 6 porcelain crowns for the front teeth to correct the crowding and improve the coloring. By doing that, Dr. Goldwater and staff were able to create a beautiful smile.


Smile Makeover
After years of feeling unhappy with her smile, this patient came into our office for a smile makeover. She was missing her lateral incisors. With the help of 2 implants and new crowns on 10 teeth, the patient left us with a radiant smile.


Cosmetic Bonding
This patient presented to our office with old bonding on his front teeth that were noticeably stained. With the skill of Dr. Goldwater and his staff the new restorations were blended to the perfect shade and polished to make his smile look fantastic!

Closing Spaces with Bonding
This patient wanted to improve the appearance of her smile without orthodontics. Cosmetic bonding was used to close gaps and reshape the teeth, resulting in a more balanced and attractive smile.

Cosmetic Bonding
This patient was beginning her professional career and wanted a brighter, more confident smile. Bonding was applied to ten upper teeth to close spaces and enhance overall symmetry and radiance.

Composite Fillings
This patient had old, leaking silver fillings and requested a more natural, tooth-colored option. Composite fillings were placed, restoring her teeth with a healthier and more aesthetic appearance.

Composite Fillings
A patient arrived with a broken molar and wanted a conservative treatment approach. A tooth-colored composite filling was used to rebuild the damaged area in a single visit, restoring function and appearance.

Cosmetic Bonding
This patient had bonding done many years ago and wanted to refresh her smile. New bonding was placed to brighten and rejuvenate her front teeth, giving her a renewed and natural-looking result.

Cosmetic Bonding – Oreland, PA
After years of feeling unhappy with her smile, this patient decided it was time for a change. A mock-up was created to preview the potential improvement, and she loved it so much that she proceeded with bonding the same day. Her smile transformation speaks for itself.

Cosmetic Bonding
This patient had fractured one of her front teeth. Cosmetic bonding was used to rebuild the tooth and blend it seamlessly with the surrounding natural teeth.

Crowns
This patient wanted a complete smile transformation. Multiple crowns were placed to restore strength, symmetry, and a more youthful appearance.

Dental Implants
This patient had a small lateral incisor that required removal. A dental implant was placed and restored with a natural-looking crown to complete the smile.

Smile Makeover – Glenside, PA
This patient wanted to restore confidence in her smile. A combination of porcelain veneers and crowns created a brighter, more harmonious appearance.

Smile Makeover – Horsham, PA
This patient was referred by a friend and sought a full smile enhancement. Her transformation delivered improved aesthetics and renewed self-confidence.

Dental Implants
After losing a front tooth as a child, this patient restored their smile with a dental implant and crown, achieving a natural and functional result.

Smile Makeover – Lafayette Hill, PA
This patient visited seeking ways to improve her smile. The makeover provided noticeable enhancement, giving her a confident, refreshed appearance.

Smile Makeover – Abington, PA
This patient decided it was time to enhance his smile after seeing the results of a family member’s transformation. His new smile brought renewed confidence and a more polished look.

Smile Makeover
This patient underwent a complete smile makeover and was delighted with the dramatic improvement. Her new smile shines with confidence.

Smile Makeover
Twelve crowns were used to create a full, uniform, and beautifully enhanced smile that fulfilled the patient’s goals.

Smile Makeover: Ambler, Pa
This young woman wanted a refreshed, fuller smile. A set of porcelain veneers was used to enhance tooth size, symmetry, and brightness, giving her a youthful and confident result.

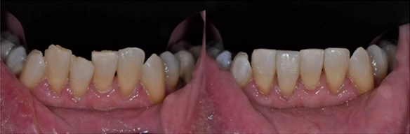
Cosmetic Shaping & Bonding
This patient wanted a simple improvement for his lower teeth, which included crowding and small chips. Using polishing, shaping, and minor bonding, a straighter and cleaner appearance was achieved in about an hour.

Closing Spaces with Bonding – Dresher, PA
This patient disliked the space between her front teeth but was concerned bonding might make them look too large. After previewing the expected results digitally, she proceeded with bonding and was thrilled with the natural, refined final look.